Panorama

Tansania erklärt Marburg-Ausbruch für beendet

Das Marburg-Fieber ist eine gefährliche und oft tödliche Krankheit. In Tansania gab es in diesem Jahr zum ersten Mal Fälle. Doch jetzt gibt es Entwarnung.

Von dpa
2. Juni 2023
Email senden zur Merkliste
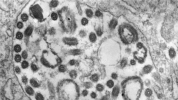
Die Transmissionselektronenmikroskopie (TEM) einer Gewebeprobe zeigt das Vorhandensein zahlreicher Marburg-Viruspartikel.

Die Transmissionselektronenmikroskopie (TEM) einer Gewebeprobe zeigt das Vorhandensein zahlreicher Marburg-Viruspartikel.

Foto: Fred Murphy/CDC/dpa

Der Ausbruch des oft tödlichen Marburg-Virus in Tansania ist vorbei. Die Regierung erklärte das Ende, nachdem seit sechs Wochen keine Infektionen mehr festgestellt wurden.

Nach Angaben der Weltgesundheitsorganisation (WHO) gab es seit Mitte März neun Infektionen und sechs Todesfälle in dem ostafrikanischen Land. Tansania erlebte zum ersten Mal Fälle von Marburg-Fieber.

Auch Äquatorialguinea an Afrikas Westküste gehe davon aus, dass ein Ausbruch von Marburg-Fieber erfolgreich eingedämmt worden sei, sagte WHO-Chef Tedros Adhanom Ghebreyesus in Genf. Die dortige Regierung könne den Ausbruch kommende Woche für beendet erklären, wenn keine neuen Fälle bekannt würden. Dort hatten die Behörden bis zum 1. Mai 17 bestätigte und 23 Verdachtsfälle gemeldet. 35 Menschen starben. In beiden Ländern waren mit Hilfe der WHO Schutzmaßnahmen umgesetzt worden, um eine Ausbreitung der Infektionen zu verhindern.

Das Marburg-Fieber ist eine sogenannte Zoonose, sie überträgt sich zunächst vom Tier auf den Menschen. Die Krankheit ist über den Kontakt mit Körperflüssigkeiten hochansteckend. Kranke haben zunächst hohes Fieber, Hals-, Muskel-, Bauch- und Kopfschmerzen sowie Durchfall. Dazu kommen bei schwerem Verlauf starke Blutungen und ein Befall des zentralen Nervensystems. Das Virus heißt Marburg, weil sich in der hessischen Stadt 1967 Laborangestellte mit dem bis dahin unbekannten Virus bei Versuchsaffen infiziert hatten.

0 Kommentare
PASSEND ZUM ARTIKEL
nach Oben